番红-固绿染色
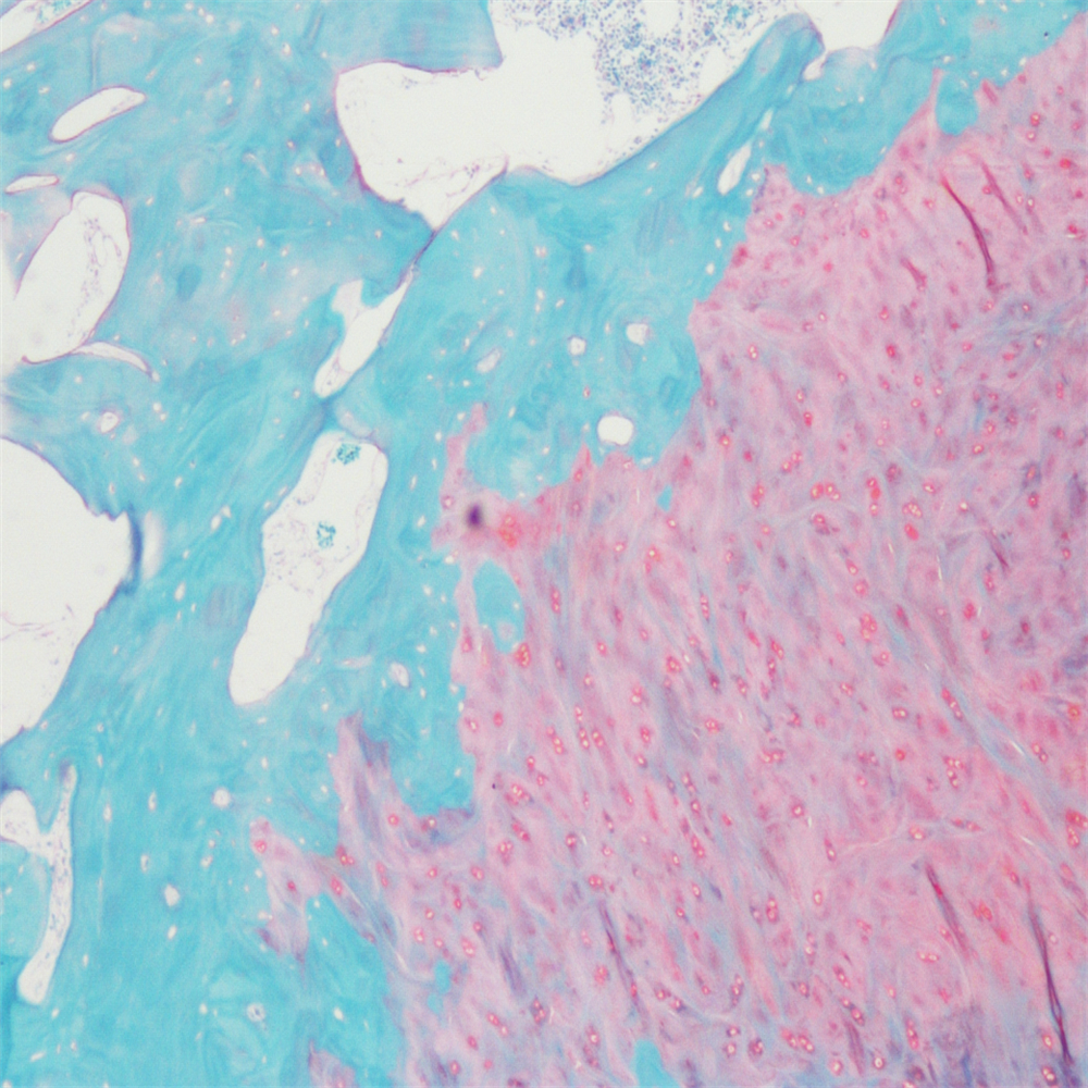
在关节软骨及软骨下骨相关形态学研究中,常需联合多种染料以清晰显示组织学结构。其中,始于20世纪60年代的番红O(safranin O)-固绿(fast green)染色法,因能直观呈现关节软骨、软骨下骨及骨组织的形态结构而被广泛应用。该染色法可使软骨呈红色,成骨组织呈绿色。
技术原理
番红-固绿(软骨)染色法的核心原理的是:嗜碱性的软骨组织可与碱性染料番红O结合,呈现红色;嗜酸性的骨组织则与酸性染料固绿结合,呈现绿色或蓝色,与红色软骨形成鲜明对比,从而实现软骨组织与骨组织的清晰区分。
番红O属于可结合多阴离子的阳离子染料,其对软骨组织的显色机制是阳离子染料与多糖中的阴离子基团(如硫酸软骨素、硫酸角质素)发生结合。番红O的着色深度与阴离子浓度大致成正比,可间接反映基质中蛋白多糖的含量及分布情况。当软骨受损时,软骨内糖蛋白会释放,导致基质成分分布不均,进而使番红O染色变浅或无着色。借助图像分析软件,可对番红O染色的软骨基质进行定量分析。固绿可与胶原纤维牢固结合,且不易褪色。
实验步骤

实验结果展示

<番红固绿-骨>
注意事项
1. 控制固绿上色程度,避免番红染色掩盖绿色。
2. 切片分化时间需适宜,以背景呈绿色为准。分化过度易导致切片不着色,分化不足则易造成切片着色过深。
送样运输要求
1. 植物样本需置于20倍样本体积的FAA固定液中固定24小时以上,再常温运输送样。
2. 严禁冷冻结冰。
